Invisalign in Odessa, Florida for kids, teens, and adults
Invisalign in Odessa, Florida for kids, teens, and adults
Invisalign makes it easier than ever to straighten your teeth without brackets or wires.
Invisalign clear aligners are a comfortable option for kids, teens, and adults who want to improve their smile discreetly. You’ll wear a series of custom-made, clear aligners that fit snugly over your teeth and move them in small, controlled steps. You can take them out to eat, brush, and floss, which makes daily life feel a lot more normal during treatment.
Smile Isle Orthodontics is the first practice in Odessa to use tools like 3D CBCT imaging to design precise treatment plans. Led by board-certified orthodontist Dr. Marina Kosturos, we’re here to help you make the best decision for your smile.
Start with a FREE consultation today. We proudly serve families in Odessa, Trinity, Keystone, and Land O’ Lakes.
Common orthodontic problems that Invisalign can correct
Crowding: Invisalign can create space and align overlapping teeth by guiding them into healthier, more functional positions.
Spacing: Invisalign can close gaps between teeth and help reduce areas where food traps and plaque buildup are more likely.
Bite concerns: Invisalign may address common bite problems such as overbites, underbites, crossbites, and open bites, depending on the complexity.
Shifting after past treatment: Invisalign can re-straighten teeth that moved after braces or aligners when retainers weren’t worn consistently.
Invisalign for Kids
For kids who still have a mix of baby and permanent teeth, early aligner therapy allows us to guide growth, improve spacing, and create a healthier foundation for the adult smile.
Dr. Marina is highly trained in the growth and development of the jaws and face in children and adolescents, and she carefully evaluates eruption patterns, bite development, and airway health before recommending treatment. When Invisalign is used at the right time, it can gently support proper development while keeping care comfortable and practical.
Fits active lifestyles: Comfortable trays work well with sports, school, and busy schedules when worn consistently.
Creates space early: Helps address crowding and developing bite concerns before they become bigger issues.
Invisalign First for growing smiles: Designed for kids with a mix of baby and permanent teeth.
Invisalign for Teens
For teens, Invisalign offers a flexible and discreet way to straighten teeth during some of their busiest years. Whether they’re balancing school, sports, or social activities, Invisalign clear aligners make treatment easier to manage without feeling self-conscious.
Built-in compliance indicators: Invisalign Teen clear aligners include small blue wear indicators that fade over time, helping parents and Dr. Marina monitor consistent wear.
No food restrictions: Aligners are removed for meals, so teens can eat what they enjoy.
Convenient check-ins: Fewer emergency visits and efficient appointments when wear stays consistent.
Invisalign for Adults
Adults choose Invisalign because it straightens teeth subtly and is easy to work into everyday life. It’s often used to correct crowding, spacing, and shifting.
Keeps routines simple: You remove aligners to eat and brush/floss, which helps many adults stay consistent with hygiene during treatment.
Understanding the cost of Invisalign
The cost of Invisalign varies based on your specific needs, treatment length, and complexity.
At Smile Isle Orthodontics, we believe in clear pricing and no surprises. During your free consultation, we will review your digital scans, explain your treatment plan, and provide a personalized cost estimate.
We also offer flexible payment options, including no-interest financing with a low down payment and affordable monthly payments. Our goal is to make Invisalign accessible, comfortable, and stress-free from day one.
Severity: Mild
$2,500-4,000
Severity: Moderate
$4,000-6,000
Complexity: Severe
$6,000-8,000
Complexity
Cost Range
Mild
$2,500-4,000
Moderate
$4,000-6,000
Severe
$6,000-8,000
How does Invisalign work?
Custom designed with precision technology
We begin with a comfortable, goopy-free iTero digital scan. When needed, we also take detailed images, including 3D CBCT scans, to get a complete picture of your teeth, bite, and jaw. From there, Dr. Marina uses virtual treatment simulations to create a complete roadmap for your smile.
Success starts with consistent wear
You’ll wear a series of custom clear aligners in a specific order. Each new set is slightly different, guiding your teeth into a better position, little by little. Most patients wear their Invisalign clear aligners 20-22 hours a day and switch to the next set every 1-2 weeks. This regular schedule helps keep your progress predictable.
Ongoing personalized check-ups
Dr. Marina will keep a close eye on how your teeth are moving to make sure your treatment stays on track. We may also use remote monitoring tools that let you send updates from home between visits. If we need to make adjustments, we can take updated scans and fine-tune your plan to make sure your final smile looks and feels just right.
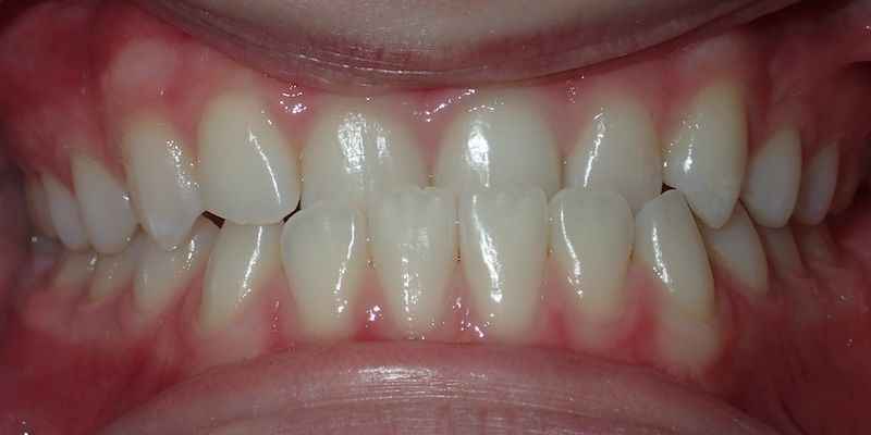
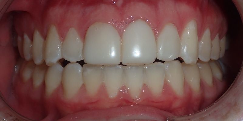
Before, after, and beyond
Big changes start with small steps. See what’s possible for your smile!



Answers to your questions about Invisalign
Who is a good candidate for Invisalign?
Most teens and adults are great candidates, and we even offer Invisalign First for younger children. It can address crowding, spacing, overbites, underbites, and more. During your free consultation at Smile Isle Orthodontics, we’ll take digital scans and let you know if Invisalign is the right fit.
What is the average Invisalign treatment time?
Most Odessa Invisalign patients finish treatment in about 12–16 months, depending on the complexity of their case. We’ll give you a personalized timeline during your consultation so you know exactly what to expect from start to finish.
What are the benefits of Invisalign compared to braces?
Invisalign is comfortable, removable, and discreet. You can brush and floss as usual, enjoy your favorite foods, and avoid bracket irritation. Many patients in Odessa experience fewer emergencies and fewer office visits, especially with optional remote monitoring.
Do I need to wear my Invisalign clear aligners all day?
Yes, for best results, you should wear your aligners 20–22 hours each day. You’ll remove them only to eat, drink anything besides water, and brush or floss. Staying consistent helps keep treatment on track.
Can Invisalign treat kids and teens?
Absolutely. We offer Invisalign First and Invisalign Teen to support growing smiles. These options help with early alignment and bite issues using gentle, kid-friendly technology and flexible wear schedules. They’re great for busy families and active kids.
Will Invisalign affect my speech?
How often will I need appointments?
Visits are typically every 6–10 weeks, but some check-ins can be done remotely using our monitoring technology. This helps keep treatment efficient and convenient while still closely tracking your progress.
What happens after Invisalign treatment?
Ready to start your Invisalign transformation?
Visit us in Odessa
Our practice is conveniently located in a family-focused building, sharing space with a pediatric medical group and a pediatric dental practice. We treat patients from Land O' Lakes, Trinity, Keystone, Lutz, New Port Richey, and the entire greater Tampa community. Plus, we accept all major insurance plans!


