About Smile Isle Orthodontics
Feel good about your orthodontic care
At Smile Isle Orthodontics, we believe orthodontic care should feel uplifting from the moment you step inside. Our practice was built around a simple idea: when people feel understood, supported, and cared for, beautiful results naturally follow.
We blend advanced technology with a relaxed atmosphere to create a space where kids feel comfortable, adults feel confident, and families feel right at home. As the only airway-focused orthodontic office in the area, we look beyond straight teeth to consider how our patients breathe, sleep, grow, and function. It’s orthodontics with the whole person in mind.
Meet Your Smile ExpertDr. Marina Kosturos
DDS, MSD
Dr. Marina Kosturos is so excited to meet you and your families at Smile Isle Orthodontics. She studied physiology at UC Berkeley before earning her DDS from the University of the Pacific, where she graduated in the top 5 percent of her class and became a member of the Omicron Kappa Upsilon Honor Society. She completed her orthodontic residency at the University of Colorado and became board certified. During her time in Colorado, she met her husband, who is a fellow orthodontist.
Dr. Marina loves getting to know her patients and guiding them toward healthy, functional, and confident smiles. She believes orthodontic care should feel collaborative and clear, so patients stay involved every step of the way. When she is not in the office, you will find her skiing, taking a pilates class, playing pickleball, or planning her next adventure with her husband.
Built with families in mind
Airway-focused orthodontic care
The most advanced technology in the region
A warm, welcoming environment designed for comfort
A team that genuinely loves what they do
Convenient, family-friendly location
Free consultations and flexible payment options
Technology that makes everything easier
We’ve invested in tools that make your care smoother and more precise, and we are one of the only offices in the area with 3D CBCT and advanced airway imaging.
3D CBCT imaging
iTero digital scans (no goopy impressions)
DIBS AI for indirect bonding / AI-powered bracket placement
Custom braces
Virtual treatment simulations
Remote monitoring tools
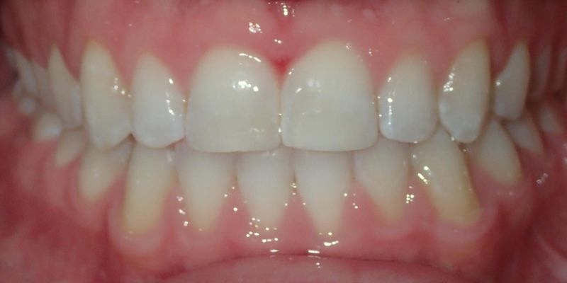
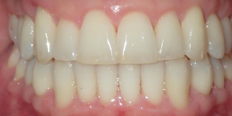
Before, after, and beyond
Big changes start with small steps. See what’s possible for your smile!



Let’s get your smile started
Book your free consult today
Whether you’re planning care for your child or finally doing something for yourself, we’re here for you.
Visit us in Odessa
Our practice is conveniently located in a family-focused building, sharing space with a pediatric medical group and a pediatric dental practice. We treat patients from Land O' Lakes, Trinity, Keystone, Lutz, New Port Richey, and the entire greater Tampa community. Plus, we accept most major insurance plans!







